
不论在全球范围,还是在中国,肺癌已然成为“癌症第一杀手”。在中国,肺癌居男性肿瘤发病率第一位,女性肿瘤发病率的第二位;而男女死亡第一位的都是肺癌。肺癌的可怕之处在于,80%的患者发现患癌时已经是晚期,因为早期肺癌的症状相当隐蔽,与普通咳嗽、气喘、肩痛相似,没有特殊的感觉,很容易被忽视,而当肿瘤长到一定大小之后就会出现咳嗽、咳痰、咯血等症状。所以一旦症状严重就医时多数已到了中晚期,而且发现后,五年生存率仅有10%左右。
早期筛查:针对两高一低
如果肺癌能早期发现,通过根治性手术治疗,不仅能降低死亡率,还能间接提升公共健康预防和控烟运动的有效性。应在全国范围内进行“两高一低”筛查:即在高发地区(如空气重度污染地区),锁定高发人群(年纪较大、吸烟、有肿瘤家族史等),用胸部低剂量螺旋CT进行筛查,实现早诊早治,提高生存率。

四类肺癌的高危人群建议每年做一次低剂量螺旋CT筛查:
①长期吸烟史,每天吸2包,长达15年及以上;每天吸1包,长达30年及以上。
②年龄大于50岁,有肿瘤家族史。
③有职业暴露史,接触放射线,或者在粉尘环境里工作。
④有肺部基础性疾病的。
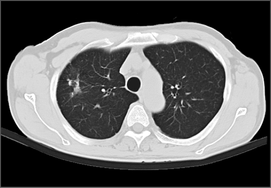
联影16排螺旋CT筛查肺癌早期病灶
有研究发现CT对早期肺癌的敏感度是胸片的4-10倍,早期肺癌干预后5年生存率约为85-90%。16排及以上CT机的扫描辐射剂量降低但发现病变的能力不变,有效剂量小于1mSv,远低于世界平均本底辐射3mSv。16排及以上CT机可以发现0.1-0.5cm病变,可以准确显示肺内病变的细微结构和边缘特征。

我院体检中心引进的联影16排螺旋CT机,该CT设备是一款最新型微剂量智能螺旋16排CT,和传统CT比较可以在保证CT高清图像品质前提下,具有扫描速度快、图像质量高、受检者接受的X线辐射剂量低、后处理功能强大的优越性。

10mA扫描模式结合微剂量技术,完成一次肺部筛查扫描仅需最低0.2mSv综合剂量,使肺部疾病CT体检筛查可行。

胸部CT扫描经常可以发现肺内的小结节灶,肺内间质、实质性病变均可以得到较好的显示。采用增强扫描以明确纵隔和肺门有无肿块或淋巴结增大、支气管有无狭窄或阻塞,对原发和转移性纵隔肿瘤、淋巴结结核、中心型肺癌等疾病的诊断,均有很大价值。
远离“四气”
预防肺癌,除了定期进行胸部CT筛查,更重要的是在生活中加以预防。肺癌是一个被“气”出来的病,揪出潜伏在你我身边的“四气”,有助远离肺癌。

香烟的“烟气”。吸烟量越多,烟龄越长,患肺癌的风险越大。除了危害自己,吸烟造成的二手烟还可能祸害其身边家人好友患肺癌。因此,为了让你最爱的人远离肺癌的“魔爪”,请烟民尽快戒烟。戒烟时很难熬,烟民要抵制各种诱惑,避免复吸,还可以求助戒烟医生。

污染的大气。大气污染越严重,肺癌的患病率和死亡率也越高。雾霾天气时尽量不要外出,必须外出时要尽量减少在外停留时间,佩戴可防住PM2.5的口罩。回家后要及时更换外出时的衣帽,清洗双手和外露的皮肤。

厨房的油烟气。煤烟污染和油烟污染是增大女性肺癌风险的重要原因。平时炒菜做饭时,要做好通风,炒菜前1分钟就打开抽油烟机,炒完3-5分钟后再关闭。
胸中的闷气。长期处于紧张、焦虑、愤怒等不良情绪控制下,经常处于抑郁状态,或者遭受生活打击一蹶不振的人,神经内分泌活动发生紊乱,器官功能失调,机体免疫力降低,免疫监视功能减弱,进而削弱免疫系统识别和消灭癌细胞的能力,易导致癌细胞转化和突变。
避免肺癌,就要放宽心胸,赶走胸中郁积的“浊气”“闷气”“怒气”等,治理好“心理污染”。遇到不顺心的事,做到不生气、不憋气、不发脾气,癌症就会远离你。


上一篇:低血糖的预防与处理
下一篇:二十四节气至立冬养生篇
淮南济民医院
就诊咨询:0554-8887120
急救电话:0554-2604903
投诉电话:0554-2690204 / 8887120
医院地址:安徽省淮南市朝阳东路121号
就诊咨询:0554-8887120急救电话:0554-2604903投诉电话:0554-2690204 / 8887120
医院地址:安徽省淮南市朝阳东路121号
Copyright © 2026淮南济民医院
微信服务号
微信订阅号
微信视频号


微信服务号

微信订阅号

微信视频号
